Ct Thorax Anatomy
Anatomy ct axial chest form no 13. Uq med yr 1 chest.
Radiology Basics Chest Anatomy
Uq med yr 1 introduction to radiology.
Ct thorax anatomy. Anatomy of the heart quiz ct click on the image description. Anatomy of the thorax lungs and mediastinum ct interactive atlas of human anatomy using cross sectional imaging we have created an anatomical atlas of the chest and the mediastinum which is an interactive tool for studying the cross sectional anatomy of the normal thorax based on an enhanced multidetector computed tomography with helical angiography of the thorax axial plane. This photo gallery presents the anatomy of the chest by means of ct axial reconstructions mediastinal window.
An overview of the anatomy visible in a transverse computed axial tomographical image of the thorax and part of the abdomen performed with intravenous contrast and acquired in the arterial phase. Uq med year 1 gafradiographic anatomy chest. Atlas of ct anatomy of the chest.
The atlas mimics a radiological workstation pacs and includes anatomy as it presents itself on plain film as well as on cross sectional studies with multiplanar reconstruction mpr and three dimensional. Uq med yr 1 chest. Radiology test 2d year chest ct anatomy.
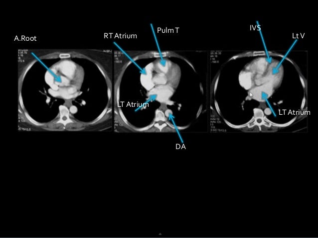
5 thoracic vertebra 6 rib 11 oesophagus 13 upper lobe of left lung 15 lower lobe of left lung 18 middle lobe of right lung 19 lower lobe of right lung 29 descending thoracic aorta 31 azygos vein 35 left atrium 36 right atrium 37 left ventricle. This mri chest thorax axial cross sectional anatomy tool is absolutely free to use. Atlas of chest ct mediastinal window.
Click on different parts of the heart and coronary vessels on this axial ct and answer corresponding questions. Use the mouse scroll wheel to move the images up and down alternatively use the tiny arrows on both side of the image to move the images on both side of the image to move the images. Radiology basics of chest ct anatomy with annotated coronal images and scrollable axial images to help medical students and junior doctors learning anatomy.
Imaging Anatomy Interactive Pacs Like Atlas Of Radiological
Radiology Basics Chest Anatomy
Chest Ct Scan Imaging Radtechonduty
Computed Tomography And Cross Sectional Anatomy Of The
Introduction To Chest Ct Interpretation Objectives
Normal Anatomical Imaging Of The Thorax In Three Dogs
Ct Chest Radiology Imaging Radiology Interventional
Medical Imaging And Radiological Anatomy X Ray Ct Mri
Ct Of The Chest Lung Windows Axial Anatomy Radiologypics Com
Lobar And Segmental Lung Anatomy On Ct Youtube
Introduction To Chest Ct Interpretation Objectives
Ct Scan Of Thorax And Abdomen Demonstrating The Abnormal
Clinical Cases Pleural Effusion
Ct Chest Anatomy Axial Anatomy Of The Thorax Studykorner
Medical Imaging And Radiological Anatomy X Ray Ct Mri
Uams Gross Anatomy X Ray Atlas
Ct Lung Cancer Screening Albuquerque Diagnostic Imaging
Atlas Of Chest Ct Mediastinal Window
Chest Anatomy Mri Chest Thorax Axial Anatomy Free Cross
Normal Cta Thorax Ecg Gated Radiology Case Radiopaedia Org
Radiological Anatomy Of The Chest Ppt Video Online Download
Ct Pulmonary Angiogram Wikipedia
Bronchopulmonary Segments Annotated Ct Radiology Case
Chest Anatomy Mri Chest Thorax Axial Anatomy Free Cross
Imaging Anatomy Interactive Pacs Like Atlas Of Radiological
Chest Anatomy Mri Chest Thorax Axial Anatomy Free Cross
Introduction To Chest Ct Interpretation Objectives
Ct Of The Chest Lung Windows Axial Anatomy Radiologypics Com



Belum ada Komentar untuk "Ct Thorax Anatomy"
Posting Komentar